■セレック3(CEREC3)と今までのセラミック治療の比較
今までの歯の作り方
①歯を削る
②歯型をとる
③石膏の模型を作る
④歯科技工士が歯を作る
⑤患者様にセット
治療にかかる時間が長い
白い歯は高額イメージがある
セレック3による治療
①歯を削る
②専用カメラで口の中を撮影
③PC上で白い歯を設計
④ミリングマシンで削り出す
⑤患者様にセット
治療にかかる時間は最短で1時間
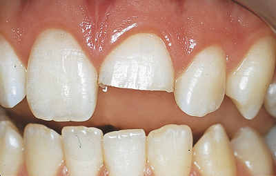
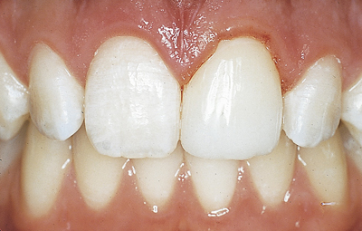
術前
術後
術前
術後
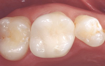
術前
術後


セレックによる製造工程で得られるメリットはたくさんあり、安くて早い、高品質でキレイな治療が可能になります。

